Skip to main content
Toggle navigation
Main navigation
Home
About
Advanced Search
How to curate (read first)
Taggers
User account menu
Create an account
Log in
Search
Advanced search
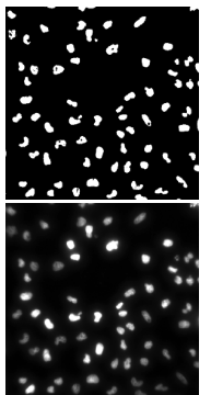
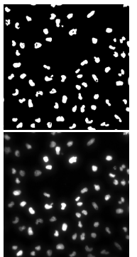
Adaptive Thresholding (EBImage)
Type
Component
Execution Platform
Linux
Mac
Windows
Implementation Type
library
Programming Language
R
Supported image dimension
2D
Interaction Level
Automated
License/Openness
Free and open source
has function
Adaptative thresholding
Cell segmentation
Additional keywords
local thresholding
Entry Curator
migration
Post date
10/11/2013 - 15:08
Last modified
05/09/2018 - 21:57