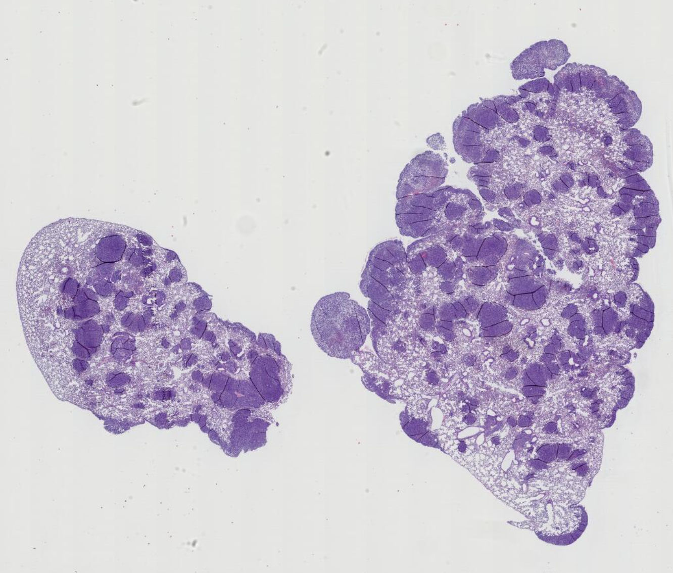
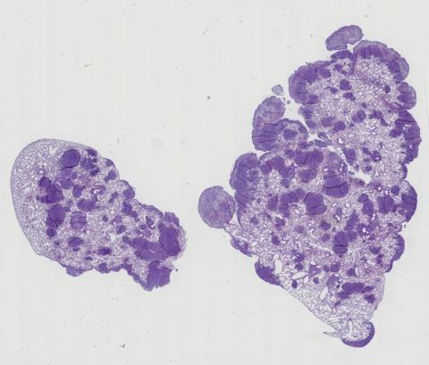
Pyxit segmentation model prediction

Type
Author
Raphaël Marée, Gilles Louppe, Loic Rollus, Olivier Caubo, Benjamin Stévens
Requires
Execution Platform
Supported image dimension
Interaction Level
License/Openness
Description

This is the "prediction step" of the Pyxit segmentation model builder. It is a learnable segmentation algorithm based on ground-truth images and segmentation mask. It learns a multiple output pixel classification algorithm. It downloads from Cytomine-Core annotation images+alphamasks from project(s), build a segmentation (pixel classifier) model which is saved locally. Typical application: tumor detection in tissues in histology slides. 

has biological terms
Entry Curator
Last modified
10/18/2019 - 18:49