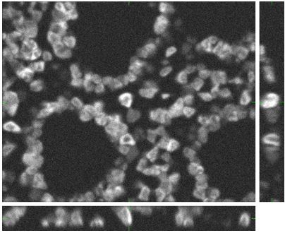
Human colon tissue

Submitted by Perrine on Mon, 08/26/2019 - 11:30

One of the principal challenges in counting or segmenting cells or cell nuclei is dealing with clustered objects such as in tissues. To help assess algorithms' performance in this regard, synthetic 3D image sets of human colon tissue are provided in two diferent levels of quality: high SNR and low SNR. Ground truth is available as well. The datasets are part of [Masaryk University Cell Image Collection (MUCIC)](http://cbia.fi.muni.cz/datasets/) as well [Broad Bioimage Benchmark Collection (BBBC)](https://data.broadinstitute.org/bbbc/) - entry BBBC027.

Image
has Ground truth

Ground Truth is provided as binary masks.

has format
has imaging details

The dataset was generated using the virtual microscope imitating the microscope Zeiss S100 (objective Zeiss 63x/1.40 Oil DIC) attached to confocal unit Atto CARV and CCD camera Micromax 1300-YHS.

has biological terms